A obesidade e a hipertensão podem causar demência diretamente
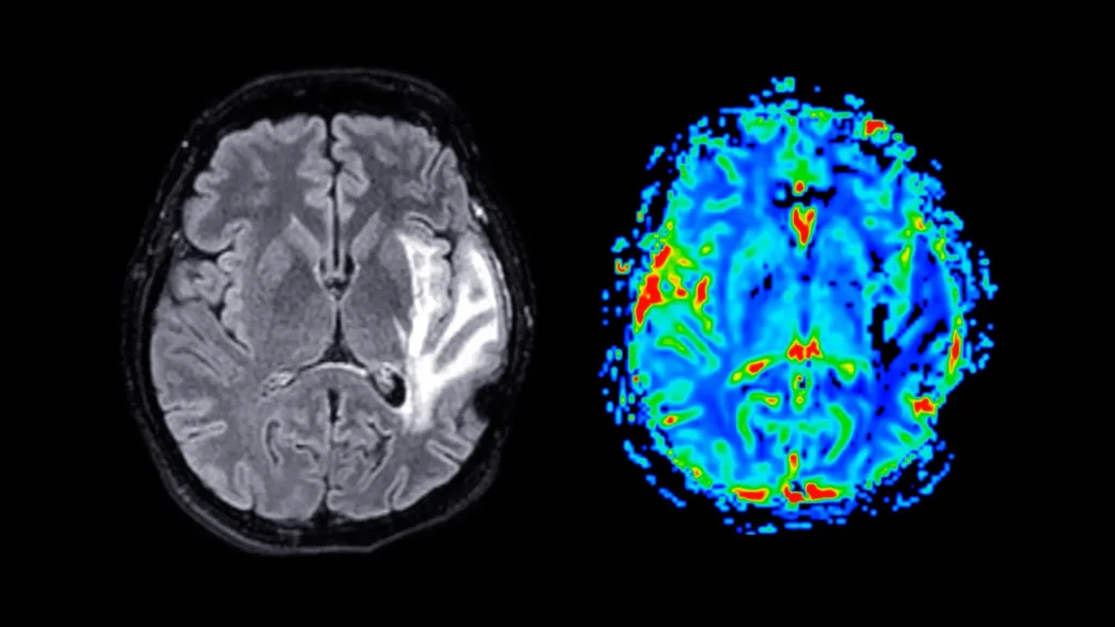
Pesquisas recentes publicadas em The Journal of Clinical Endocrinology & Metabolism sugerem que indivíduos com obesidade e hipertensão arterial podem estar mais propensos a desenvolver demência. A demência é uma crescente preocupação de saúde pública global, e atualmente não existe cura. As pessoas afetadas por essa condição passam por um declínio significativo nas habilidades mentais, […]
A obesidade e a hipertensão podem causar demência diretamente Read More »






